Онлайн-Консультація
Запис на прийом

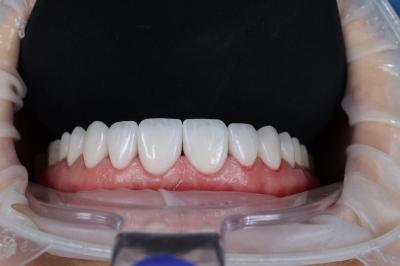
Люмініри стоматологія Івано-Франківськ

Люмініри: сучасне естетичне рішення в Ali Dental

Усмішка з натуральною прозорістю емалі та чітким контуром формується ультратонкими керамічними пластинками під індивідуальні параметри прикусу й міміки. У клініці Ali Dental в Івано-Франківську застосовується поетапне планування, фотопротокол, цифрове моделювання та узгодження відтінку за шкалою. Люмініри фіксуються адгезивно – з мінімальним втручанням у тканини, що зберігає структуру емалі й прискорює адаптацію. Вартісний аспект уточнюється після огляду та діагностики, тож формулювання люмініри ціна доречне на етапі погодження плану лікування. У «Алі Дентал» пацієнт отримує зрозумілу дорожню карту: підготовка, примірка, фіксація, контроль.

Зателефонуйте та отримайте швидку консультацію вже зараз
або залиште свої контакти і ми Вам перетелефонуємо
Замовити дзвінок
Наші контакти

Люмініри: переваги й показання у «Алі Дентал»

Ультратонкі керамічні пластинки маскують зміну кольору, мікротріщини, асиметрію різального краю, коригують проміжки у фронтальній зоні. У Ali’s Premium Dental Care налаштовується прозорість, насиченість і мікротекстура, щоб результат виглядав природно за денного та штучного освітлення. Рішення доречне в публічних професіях, де важлива стабільна естетика без масштабних інвазивних процедур. Кількість елементів визначається симетрією усмішки – від однієї пластинки до комплексного оновлення сегмента.

  • Естетика без металу – оптична глибина, відсутність темного контуру вздовж ясен.
  • Мінімальна інвазивність – збереження емалі, щадний контакт із тканинами.
  • Комфорт посадки – гладенька поверхня, короткий період звикання.
  • Прогнозованість – цифрове планування усмішки, контроль оклюзії й дикції.

У «Алі Дентал» підбирається форма різального краю, симетрія лінії усмішки та колір, що узгоджується із сусідніми зубами й фотопротоколом.

Люмініри ціна: складники кошторису в Ali’s Premium Dental Care

Фінальний бюджет залежить від кількості пластинок, рівня індивідуалізації відтінку, складності корекції форми, потреби тимчасових вінірів та обсягу лабораторних робіт. У клініці «Алі Дентал» кошторис структурується прозоро – діагностика, підготовка емалі, примірка, фіксація, контрольний візит. Формулювання люмініри на зуби ціна відображає конфігурацію під одну або кілька одиниць, включно з поліруванням і перевіркою контактів.

Порівняно з прямими композитними реставраціями кераміка довше зберігає блиск і стабільний колір. У зіставленні з масивними накладками тонкий профіль зменшує втручання у тверді тканини – це скорочує адаптаційний період і підвищує комфорт у щоденному носінні. У Ali’s Premium Dental Care кожна позиція пояснюється окремо – від підготовки емалі до фінальної поліровки, тож на люмініри ціна завжди передбачувана для пацієнта.

Люмініри: експертні поради Ali Dental щодо вибору, встановлення та догляду

Рішення встановити люмініри на зуби ґрунтується на аналізі прикусу, товщини емалі, стану ясен, лінії усмішки та фотодіагностики. У «Алі Дентал» погоджується довжина різального краю, форма, прозорість і тон, які залишаються сталими в різних умовах освітлення. Сценарії застосування передбачають маскування старих реставрацій, закриття діастем, вирівнювання контуру без тривалих ортодонтичних протоколів. 

Критерії вибору:

  • клінічні показання – сколи емалі, зміна відтінку, асиметрія;
  • оптика – прозорість, насиченість, мікротекстура поверхні;
  • симетрія – кількість елементів і баланс сторін;
  • звички – бруксизм, навантаження під час жування, потреба захисної капи;
  • сервіс – графік контролю, полірування, підтримка блиску.

Догляд простий: м’яка щітка, пасти без надмірних абразивів, делікатні засоби для міжзубних проміжків, іригатор за призначенням лікаря. Тимчасові елементи варто берегти від твердих продуктів, а постійні – перевіряти раз на шість місяців. Потрібен персональний план у місті й вартісний орієнтир – залиште звернення в Ali Dental, зазначте, що цікавлять саме люмініри, і адміністратор узгодить зручний час консультації.

Часті запитання

Чим люмініри відрізняються від класичних вінірів?

- Головна відмінність полягає в товщині конструкції та підході до підготовки зубів. Люмініри є надзвичайно тонкими керамічними накладками, тому в багатьох випадках їх можна фіксувати з мінімальним втручанням у емаль. Саме тому цей варіант часто обирають пацієнти, яким важливо отримати виражений естетичний результат із максимально щадним підходом.

Чи підходять люмініри на зуби тим, хто хоче змінити усмішку без радикального втручання?

- У багатьох ситуаціях – так, особливо якщо йдеться про корекцію кольору, форми чи незначних проміжків між зубами. Проте можливість встановити люмініри на зуби без попереднього препарування залежить від стану емалі та особливостей прикусу. Остаточне рішення лікар приймає після детальної діагностики, оцінюючи, чи буде такий формат доцільним саме у вашому випадку.

Чи можна поєднати встановлення люмінірів з іншими процедурами для гармонійного результату?

- Так, люмініри часто стають завершальним етапом комплексної корекції усмішки. Якщо потрібно додатково попрацювати з контуром ясен чи загальною естетикою, ми рекомендуємо розглянути такий напрям, як естетична стоматологія. Такий підхід допомагає отримати більш цілісний і природний результат.

Наскільки довговічними є люмініри та як за ними доглядати?

- За належного догляду ці керамічні конструкції можуть слугувати понад 15–20 років, зберігаючи свій первісний відтінок і блиск. Їхня довговічність залежить від якості фіксації, щоденної гігієни та відсутності звички перевантажувати зуби. Догляд передбачає регулярне домашнє чищення та профілактичні огляди у стоматолога.

Від чого залежить вартість люмінірів і як розрахувати бюджет?

- Підсумкова сума залежить від кількості одиниць у роботі, складності клінічної ситуації та обсягу попередньої підготовки. Оскільки люмініри виготовляються з високоміцної кераміки за індивідуальними зліпками, їхня вартість відображає високу технологічність матеріалу. Точний фінансовий план лікар формує після консультації, коли вже зрозуміло, який обсяг корекції потрібен для досягнення бажаного естетичного результату.

Відгуки пацієнтів

Чудове місце, де на кожному етапі відчувається піклування і повага до пацієнтів. Тут отримуєш комфорт і якість, як тільки відкриваєш двері: чисто, гарно, затишно; усміхнені та привітні працівники; золоті руки лікарів і асистентів, повний спектр стоматологічних послуг, якісні матеріали та сучасні апарати. Дуже вдячна Долі, що знайшла цю клініку. Вдячна за професійність, підтримку та турботу доктору Алі, доктору…
Mariia Petaieva
Чудова клініка з дуже привітним і доброзичливим персоналом! Але найважливіше, що тут працюють справжні професіонали своєї справи! Лікування пройшло безболісно і результатом я задоволена. Успіхів та процвітання Вам!
Діана Гнатюк
Лікарі, асистенти та адміністратори виконують свою роботу на найвищому рівні! Я дуже рада, що почала лікування саме у цій клініці. Все швидко, якісно та професійно. Відразу помітно, що тут піклуються про усіх пацієнтів. Стерильність, затишок та комфорт відіграють велику роль. Рекомендую!!
Катя Стародубова
Дуже сподобалась стоматологія) обовʼязково прийду ще
Денис Гібель
Хочу висловити велику вдячність стоматологу Алі та всій його команді. Мав видалення зуба мудрості – процедура пройшла безболісно, швидко та з максимальним комфортом. Лікар дуже чуйний, пояснив кожен крок, одразу викликає довіру. Колеги працюють професійно, злагоджено й уважно до пацієнта. Адміністратор окремо заслуговує похвали за ввічливість, уважність і щиру посмішку – завжди приємно приходити. Радий, що обрав…
Денис Прокопів
Дуже рада що відвідую саме цю стоматологію )) Раніше боялася стоматологів , проте коли потрапила до Dr Ali’s Dental Center страх пропав. Усі лікарі і адміністратори тут ввічливі , дружелюбні, завжди усміхнені і справжні майстри своєї справи , справді хочеться сюди приходити . Ніколи не пожалію , що прийшла саме до них.
Ірина Крижанівська
Додати відгук
» Переглянути більше відгуків на Google Maps

Контакти

Адреса
вул. Миру, 58
Івано-Франківськ
Дивитися на карті
Номери телефонів
Замовити дзвінок
* Заповніть форму і ми зв’яжемося з Вами найближчим часом
Онлайн-Консультація
Запис на прийом
Графік роботи
Понеділок - П’ятниця
9:00-19:00
Субота
9:00-18:00
Неділя
Вихідний
Якщо у Вас є запитання чи пропозиції співпраці — напишіть нам:
doc.ali.dental@gmail.com
ТОП меню