Онлайн-Консультація
Запис на прийом

Профілактична стоматологія стоматологія Івано-Франківськ

Зберегти зуби та ясна здоровими — справа реальна. Найкращий метод профілактики захворювань зубів — регулярна професійна гігієна зубів в стоматологічній клініці. У стоматології Doc Ali’s Premium Dental Care гігієну проводять кваліфіковані лікарі-пародонтологи.

Професійна гігієна зубів буває трьох ступенів складності, залежно від вихідної ситуації Вашої ротової порожнини (м’які чи тверді зубні відкладення, їхня рясність).

  1. Обов’язковим етапом діагностики в сучасній стоматології залишається огляд лікаря-стоматолога та опитування пацієнта, але не менш важливим є додаткові методи обстеження, такі як комп’ютерна томографія та рентгендіагностика.
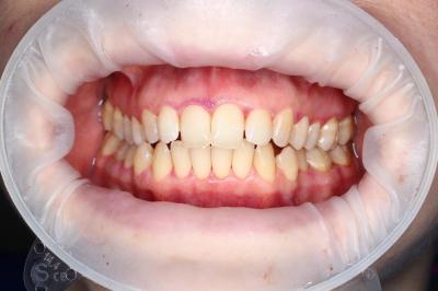
  2. Професійне чищення зубів — комплекс процедур, що дозволяє усунути візуальні дефекти на емалі зубів, такі як наліт, зубний камінь, пігментні плями. Всі ці заходи спрямовані на підвищення імунітету у тканинах пародонта.
  3. Сучасне відбілювання зубів в стоматології це абсолютно безпечна процедура, при якій покращується естетичний вигляд посмішки, та яка проводиться в максимально короткі терміни.
Онлайн консультація стоматолога Івано-Франківськ
Видалення зубного каменю Івано-Франківськ
Фотовибілювання зубів Івано-Франківськ
Герметизація фісур Івано-Франківськ
Фторування зубів Івано-Франківськ
Відбілювання зубів Івано-Франківськ
Комплексна чистка зубів Івано-Франківськ
Професійна гігієна ротової порожнини Івано-Франківськ
Професійна чистка зубів Івано-Франківськ
Ультразвукова чистка зубів Івано-Франківськ
Консультація стоматолога Івано-Франківськ
Гігієна Івано-Франківськ
Переглянути ціни
професійна чистка зубів ціна івано-франківськ, професійна чистка зубів, професійна чистка зубів ціна, відбілювання зубів, відбілювання зубів івано франківськ
Зателефонуйте та отримайте швидку консультацію вже зараз
або залиште свої контакти і ми Вам перетелефонуємо
Замовити дзвінок
Наші контакти

Профілактична стоматологія: подбайте про здоров'я ваших зубів та ясен

Найкращою профілактикою захворювань ротової порожнини є регулярне професійне чищення зубів у стоматологічній клініці. В медичному закладі Ali’s Premium Dental Care цю важливу процедуру виконують виключно висококваліфіковані лікарі-пародонтологи, які знають, як найкраще подбати про вашу усмішку.

Ступінь складності професійного чищення підбирається індивідуально. Фахівці враховують особливості ротової порожнини пацієнта, стан і кількість зубних відкладень. Щоб профілактична стоматологія була ефективною, для повної діагностики використовуються сучасні методи візуалізації (комп'ютерна томографія, рентген). Комплексні маніпуляції направлені на усунення естетичних недоліків емалі, як-от наліт, зубний камінь, пігментація. Такі процедури сприяють зміцненню тканин пародонту.

Ще один вид послуг профілактичної стоматології – відбілювання зубів у клініці Ali’s Premium Dental Care. Безпечне, швидке й ефективне виконання подарує впевненість у власній привабливості. Використання професійних систем, що відбілюють, і професійного обладнання дає змогу досягти дивовижних результатів без шкоди для емалі і ясен.

Професійна гігієна зубів як різновид профілактичної стоматології

Ідеальна чистота зубів є запорукою збереження здоров’я ротової порожнини. Професійна гігієна в клініці Ali Dental (Івано-Франківськ) – гарантія безболісної, абсолютно безпечної для емалі маніпуляції. Лікарі подбають про комплексний догляд, який складається з кількох етапів:

  • Механічне видалення зубного каменю, нальоту. В роботі використовується інноваційний ультразвуковий скейлер для великих відкладень. Ультразвукові хвилі руйнують структуру каменю, водою змиваються залишки. Делікатні ручні інструменти застосовують для очищення важкодоступних місць.
  • Глибоке очищення дентальних одиниць в профілактичній стоматології. За допомогою спеціального низькоабразивного порошку й щіток фахівець дбайливо видаляє плями й забруднення.
  • Відновлення та захист. Завершується процедура поліруванням поверхні зубів, що робить її гладенькою й блискучою. Фторування – насичення емалі фтором, що знижує ризик розвитку карієсу.

Після гігієни клініка Ali’s Premium Dental Care також пропонує пацієнтам професійне відбілювання системою «Beyond Plus» для досягнення ідеальної білизни.

Не забувайте, що такі маніпуляції профілактичної стоматології рекомендують проводити кожні пів року (або раз у рік). Графік може бути скоригований залежно від індивідуальних показників.

Як за допомогою профілактичної стоматології повернути білизну зубів

Навіть за ретельного догляду за ротовою порожниною емаль з часом втрачає природну білизну. Кава, чай, шкідливі звички залишають помітні сліди, роблячи усмішку тьмяною.

Відбілювання зубного ряду – ефективний інструмент профілактичної стоматології, що повертає усмішці здоровий блиск і рівномірний колір. Досвідчені фахівці клініки Ali’s Premium Dental Care в Івано-Франківську гарантують результат, що вразить кожного.

Чому варто обрати нас:

  • Помітне відбілювання емалі. Ваші зуби можуть стати світлішими до 7 тонів.Такий ефект неможливо отримати в домашніх умовах.
  • Комфорт і швидкість. Пацієнт може повністю розслабитися, насолоджуючись переглядом улюблених фільмів на екрані перед ним. Як правило, тривалість маніпуляції не перевищує 1,5 години.
  • Максимальна безпека. В клініці Ali Dental використовуються лише сертифіковані препарати. Здоров'я клієнта в пріоритеті, тому кожен етап процедур профілактичної стоматології виконується під наглядом кваліфікованого медичного персоналу, що мінімізує будь-які ризики.

Ali’s Premium Dental Care – це приємна, невимушена атмосфера, де ви можете розслабитися й довірити здоров’я нашим фахівцям. Привітні адміністратори на рецепції допоможуть записатися на обрану процедуру, нададуть додаткову інформацію щодо роботи й послуг клініки.

 

професійна чистка зубів ціна івано-франківськпрофесійна чистка зубівпрофесійна чистка зубів цінавідбілювання зубів цінавідбілювання зубів івано-франківськ

чистка зубів від нальоту і каменю відбілювання зубів

Відгуки пацієнтів

Хочу щиро подякувати стоматологічному центру «Ali’s Premium Dental Care» в Івано-Франківську та особливо моєму лікарю Роману. Сьогодні проходила лікування зубів і залишилася дуже задоволена! Відчувається висока професійність, уважність та щире ставлення до пацієнтів. У клініці панує приємна атмосфера, де тобі не страшно йти на прийом, а навпаки — виникає довіра та впевненість, що все зроблять якісно та безболісно(…
Інна Корольчук
Дуже сподобалась стоматологія) обовʼязково прийду ще
Денис Гібель
Приємно, коли результат перевищує сподівання! Надійно, якісно, безболісно і на дуже високому рівні! Щире дякую лікарям Алі, Оресту, Роману, асистентам і всьому колективу! З Вами назавжди;)
Tania Zaiets
Рекомендую! Чудові лікарі, сучасне обладнання, висока якість обслуговування, професійний супровід протягом лікування і після нього.
Ганна Марчук
Хочу залишити відгук і щиро подякувати команді клініки ✨ Я досі в приємному шоці. Мені видаляли 3 зуби, два з яких — зуби мудрості, усе проходило в медикаментозному сні, і паралельно пролікували всі зуби
Дар’я Марущак
Чудова стоматологія! Привітні адміністратори, дуже класні лікарі, грамотні, людяні, досвідчені, роблять все чудово. Та взагалі кожен раз приємно ходити на прийом, знаєш що потрапиш до рук професіоналів :)
София Бойко
Додати відгук
» Переглянути більше відгуків на Google Maps
Щирі відгуки наших пацієнтів Ви також можете знайти на нашій сторінці в Instagram

Контакти

Адреса
вул. Миру, 58
Івано-Франківськ
Дивитися на карті
Номери телефонів
Замовити дзвінок
* Заповніть форму і ми зв’яжемося з Вами найближчим часом
Онлайн-Консультація
Запис на прийом
Графік роботи
Понеділок - П’ятниця
9:00-19:00
Субота
9:00-18:00
Неділя
Вихідний
Якщо у Вас є запитання чи пропозиції співпраці — напишіть нам:
doc.ali.dental@gmail.com
ТОП меню